Les extractions dentaires
La conservation des dents et leur remplacement sont l'essentiel de la préoccupation des chirurgiens-dentistes. Néanmoins, dans certains cas, il faut enlever la dent.

L'extraction est nécessaire :
  • si son support gingival et osseux est trop abîmé, à cause de la maladie parodontale,
  • si elle est trop abîmée pour être conservée, à cause de la carie
  • si elle a subi un choc, un traumatisme, une fracture non réparable
  • selon l'état général du patient (risques infectieux à distance)
  • pour des raisons stratégiques lors d’un traitement d’orthodontie ou de prothèse


Une extraction ou avulsion est une véritable intervention chirurgicale.

Les extractions simples

La dent étant maintenue dans l'os par un ligament, l'extraction peut être considérée comme une désinsertion et une désarticulation de la dent de son alvéole.

Une extraction se pratique par :
  • un examen de la zone concernée et de l'étude de la radiographie de la dent,
  • une anesthésie locale ou loco-régionale
  • la désinsertion de la gencive et de la partie haute du ligament (syndesmotomie),
  • l'avulsion de la dent à l'aide d'un davier
  • la vérification de la dent extraite, extraction des fragments osseux, curetage des tissus infectés,
  • le tamponnement à l'aide compresse pour assurer la formation du caillot.


Conseils :

Pour préserver le caillot en formation, il ne faut pas boire du coté de la zone extraite ou cracher pendant une dizaine d'heures. La perte du caillot risque d'entrainer une infection osseuse douloureuse appelée alvéolite.

Les extractions complexes

La plus simple des extractions peut présenter des difficultés inattendues et nécessiter la mise en œuvre de techniques plus complexes.

Alvéolectomie

Cette intervention consiste à effectuer un dégagement osseux pour permettre l'extraction de la dent.

Dents retenues

Certaines dents n'arrivent pas à faire leur éruption sur l'arcade correctement. Elles restent incluses dans l'os en partie ou totalement, selon le niveau d'évolution on parle de dent en rétention, enclavée ou incluse. L'extraction est souvent nécessaire car le risque inflammatoire des tissus adjacents à la dent est important.

Les extractions orthodontiques

Extractions pilotées

Ce sont des extractions simples pratiquées à un moment précis pour faciliter l'évolution des autres dents. Souvent en cas de manque de place important, les prémolaires sont extraites pour permettre une mise en place du bloc incisivo-canin.

Extractions de dents surnuméraires ou incluses

Germectomie

Cette intervention consiste à extraire un dent non mature au cours de son évolution afin d'éviter son éruption sur l'arcade.
La Carie avancée
Une de vos dents est cariée au point de ne pas pouvoir la reconstruire par des obturations classiques (plombage, composite, inlay). Une couronne s'impose, pourtant, il n'est pas nécessaire de dévitaliser votre dent.

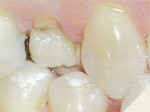
ancienne obturation - Ancienne obturation

Une dent déjà obturée sur deux ou trois faces présente une nouvelle carie sous ou à côté de cette obturation. Mais la matière profonde subsiste.


 - Fracture

Une dent reconstituée par une opturation volumineuse : celle-ci a fracturé la dent et provoqué la perte d'une grande partie de la couronne.

Infiltration

Les dents du sourire (incisives, canines ou prémolaires) restaurées plusieurs fois par des composites de plus en plus importants, finissent par s'infiltrer de tabac, impuretés, etc.



 - Coloration

Une dent obturée par un amalgame, dont les éléments constituant le matériau se sont diffusés à l'intérieur de l'émail, développe une teinte peu esthétique.

Dent isolée

Suite à la perte d'une dent voisine, une dent saine s'est inclinée. Cette position rend inefficace la mastication et empêche le remplacement de la dent manquante.


La réponse classique de la dentisterie consistait à dévitaliser ces dents et à les protéger avec une couronne. Pourtant il est toujours préférable de conserver une dent vivante.


Indépendentaire Editeur - Tous droits réservés